检验科的“不速之客”,竟是一条小长虫?
某个工作者日上午,一位门诊患者拿着一个矿泉水瓶神情紧张地来到我院检验科临检窗口,对值班医生说在自家浴室发现了一条长虫,想委托我们鉴别是何种虫、是否为人体寄生虫。患者焦急地说“一年内发现了四次,我呀,就怕是自己排出来的,寝食难安,搞不清楚这个,我都快抑郁了!”。

虫体实拍图
形似蚯蚓,体表有横纹
检验科工作人员进一步询问患者得知,患者及家属近期并未出现任何身体不适,且患者本人前不久也在我院做了粪便分析检查,未见寄生虫及虫卵。那么,这条小长虫究竟是何方神圣?是人体寄生虫,还是外界污染物呢?让我们一探究竟......
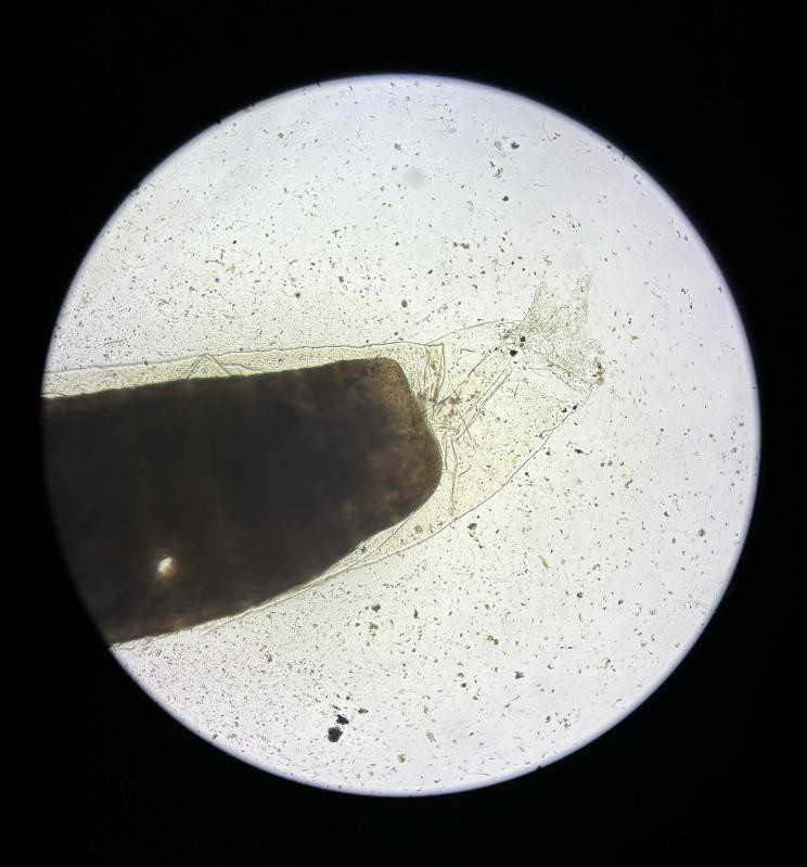
值班医生将该虫取出置于玻片上观察发现,虫体长约 3cm,体表有横纹,在显微镜下观察结构如下所示:

虫体实拍图

头部(x40)

头部(x100)
镜下可见该虫周身有粘液蛋白样物质,并无口、腹吸盘等结构,基本可以排除人体寄生虫。通过查阅文献资料、对比形态、请教寄生虫教研室专业教师后, 初步怀疑是“水蚯蚓”。进一步咨询相关专家,最终得出结论:该虫就是“水蚯蚓”,又名“红线虫”、“丝蚯蚓”,多生活在排放污水或废水的阴沟污泥中, 居家环境发现多为水箱、下水道等污染。
在确定答案后检验科工作人员随即联系患者进行科普,患者表示该虫发现时就是红色,像蚯蚓一样,还会蠕动,而家中正是水箱供水,也有热水器,符合孳生条件。最后患者表示由衷感谢,小小的虫子成了困扰她近一年的一大心病,检验科如此一番探案,总算替她“排忧解难”。
那么问题来了,什么是水蚯蚓?它为何会出现在浴室中?对人体有无危害?日常 生活该如何防治呢?让我们一起来看看:
什么是水蚯蚓
水蚯蚓,别名红线虫、赤线虫、丝蚯蚓,是环节动物门,寡毛纲,近孔寡毛目、颤蚓科,水蚯蚓属。体形细长,一般长 4~55mm、粗 0.5~1.5mm,体色鲜红或肉红,多生活在排放污水或废水的阴沟污泥中。喜温畏光,繁殖力极强,生长旺季为 4~10 月,适宜水温为 18~28℃,营养价值高,是常见的鱼类饵料(想必钓鱼的朋友应该甚是熟悉)。

图片来源:泰州市疾控中心
居家出现原因:
1. 水管老化,内壁锈蚀,未定期更换、消毒,导致水中微生物大量滋生;
2. 二次供水水箱未及时清洗,底部淤泥较多,利于水蚯蚓生长;
3. 存活于下水沟渠、管道中的水蚯蚓,在夜间无人用水时,从下水管道中爬出, 或沿着池壁和自来水管壁爬进用户自来水龙头的出口处,汇集成团状,待用水时随水流而下。
日常如何解决防控:
1.保持卫生间的清洁和干燥;
2. 规范水箱清洗消毒,加强卫生管理;
3. 定期使用 84 消毒液、漂白粉等消毒剂等对水槽、下水管道等长期潮湿的地带进行消毒,必要时可用防虫地漏网防止水蚯蚓等虫外爬;
4. 家庭太阳能热水器如长期不用应把水完全放空,重新使用时需注意消毒洗净。
温馨提醒:
近日广东地区迎来回南天,温湿度适宜水蚯蚓、蛾蠓等虫的生存,虽不是人体寄生虫,本身对人体无危害,但因其滋生在污秽场所,也可能成为病原微生物的携带者。日常生活中建议大家注意保持卫生间、浴室等地的清洁干燥,定期做好下水道、地漏的消毒除虫,远离虫虫困扰~
参考文献
[1] 王忠强 . 水蚯蚓在污泥减量中的研究进展 [J] . 科教导刊,2016,(20):125-126.DOI:10.16400/j.cnki.kjdkz.2016.07.060.
[2] 吴光举, 赵广宇, 朱洁等 . 探究水蚯蚓的行为及引发的思考[J] . 生物学通报,2005,40(9):50-52.DOI:10.3969/j.issn.0006-3193.2005.09.029.
[3] 沈毅诚, 吴晓丰. 水蚯蚓的养殖[J] . 生物学通报,2002,37(2):36.DOI:10.3969/j.issn.0006-3193.2002.02.039.