红蝴蝶与红宝石戒指

作者:梁燕婷 来源: 发布时间: 2022-03-16 点击数量:0

红蝶扑映脸,狼咬红斑样。

身痛如被杖,红砖体内藏。


这一天送检的一份血液标本要查红斑狼疮细胞,检验师经过一道道奇妙的工序,最终在显微镜下发现了大量的红斑狼疮细胞。什么是红斑狼疮细胞?又是怎样神奇的工序让隐藏在血液中的红斑狼疮细胞现形的呢?

 

一、红斑狼疮的渊源


讲到红斑狼疮细胞就不得不说说红斑狼疮这种疾病。其实人类与红斑狼疮的探索与纠葛早已存在了数千年。最早描述红斑狼疮的医生可能是希波克拉底,他描述的一种皮疹疑似红斑狼疮皮疹。在我国东汉时期,张仲景在《金匮要略》中记载了一种“面赤斑斑如锦纹”、“身痛如被杖”的病症,也可能是红斑狼疮的临床表现。到了13世纪,人们开始重视起这种异样的皮肤状况。发病后皮肤局部溃烂、红肿,像被狼咬过的皮肤病,这也是红斑狼疮名字中和“狼”扯上关系的原因。后来人们发现,同样的红斑狼疮症状,在皮肤上出现的部位、形状等都有差异,疾病后果的轻重难以预料,也就无法估测死亡的远近,红斑狼疮的阴影神秘地笼罩着医生与病患。


直到1948年,Hagraves等在1例SLE患者骨髓涂片中偶然发现了一种吞噬了细胞核物质的细胞。这种细胞与红斑狼疮的产生有着密切的关系,于是被称为“狼疮细胞”。狼疮细胞其实是体内免疫系统紊乱发生“敌我不分”的斗争产物。患者体内的一种狼疮因子伪装成了自身抗体,引发了一系列的误会与屠杀。狼疮细胞的形成,是由病人体内含有的自身抗体与已经退化的中性粒细胞的细胞核作用,使粒细胞核内的DNA解聚,胞核肿胀,形成体积膨大、质地均匀、圆形烟雾状的均匀体,被活的中性粒细胞吞噬均匀体形成狼疮细胞。

 

二、狼疮细胞的制作


寻找藏在血液中“红宝石戒指”之旅就要开始了。这趟“旅途”竟是SLE诊断之路上的实验室检查中最简便、最经济的。静脉血找红斑狼疮细胞特异性强,在急性活动性SLE病人中70%~80%可找到红斑狼疮细胞,检出狼疮细胞是诊断SLE的重要依据。


1.制作原理

红斑狼疮患者血液内的红斑狼疮因子(LE因子)为一种抗核蛋白的IgG抗体,它作用于细胞核抗原决定簇,并使细胞核胀大,失去原有的染色质致密结构,形成一种均匀无结构的圆形烟雾状物质,称均匀体,这种均匀体蛋白在补体作用下,被成熟的中性粒细胞吞噬后即为红斑狼疮细胞。这种现象在体外形成,故须在抽取静脉血后,给予一定的条件和在适当的温度下放置一定时间,促使其形成。经瑞-吉氏染色后,油镜下的视野可见吞噬了均匀体的红斑狼疮细胞就像红色的宝石戒指。


2.红斑狼疮细胞的形成需要有5个条件:

①人特有的抗核抗体(IgG),它能使细胞核的脱氧核糖核酸( DNA)解聚,变成可被中性细胞吞噬的均匀体。

②供抗核抗体作用的退化的细胞核;

③活的吞噬细胞,主要是中性粒细胞。其中抗核抗体是病人特有的,它首先对细胞核起作用,为中性粒细胞的吞噬创造了条件

④合适的作用温度

⑤适当的作用时间。


3.注意事项:

①整个操作时间不能超过3h。经过短,狼疮细胞形成不佳;时间过长,细胞溶解过多,影响检出。

②注意与果馅细胞鉴果馅细胞为单核细胞吞噬淋巴细胞的胞核所形成,核仍保持染色质结构和染色质特性(着紫红色)


4.操作方法:

①抽取患者血液2~3ml,注于干燥洁净试管内,于室温待凝。

②于凝固刚形成时,用竹签将凝块搅碎,并将残余凝块除去(见图1)。


1.jpg

图1 用竹签搅碎凝块的操作


③以2000r/min离心沉淀10min,使白细胞聚集在同一层面,以利于狼疮细胞形成(见图2)。

2.jpg

图2 离心后的静脉血


④置37℃温箱内温育2h。

⑤取出试管,去掉大部分血清,只留下血膜以上4㎜左右的血清(如图3)。

3.jpg

图3 去掉大部分血清后只留下血膜以上4㎜左右的血清


⑥用加样枪头轻轻搅动白细胞膜层,使白细胞悬浮到血清中。

⑦轻轻吸取悬浮着白细胞的混浊血清,使之转移到1.5ml离心管中,将离心管2000r/min离心2min,使白细胞沉淀(见图4)。

4.jpg

图4 1.5ml离心管装载悬浮着白细胞的混浊血清


⑧去掉上清,取底下沉淀涂片2-3张,晾干,以瑞氏染液染色、镜检(见图5)。

5.jpg

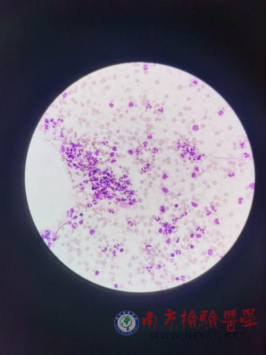
图5 低倍镜视野下先观察涂片中细胞的情况(瑞氏染色,x10)


5.结果观察:

①典型的红斑狼疮细胞是中性粒细胞胞浆内吞噬了一个至数个均匀的、已失去核的致密结构的圆形或椭圆形的均匀体,均匀体的大小约1/3到1/4个红细胞大。在细胞中呈浅紫色均匀无结构的圆形烟雾状物质为均匀体,均匀体被中性粒细胞吞噬后将深染的中性粒细胞的分叶核挤到边缘,看起来就像镶着红宝石的戒指(见图6-8)。

微信图片_20220316102416.png

图6-8 箭头所指为红斑狼疮细胞'细胞中呈浅紫色圆形烟雾状物质为均匀体,挤到边缘深染的为中性粒细胞分叶核(瑞士染色,x1000)


②孤立的圆形均匀体与上述细胞内的均匀体相同,但未被中性粒细胞吞噬,散在分布于涂片中。有时许多中性粒细胞包围一个细胞核均匀体,形成花斑样的细胞簇。全身性红斑狼疮本试验可呈阳性(阳性率达80%左右),经激素治疗后,红斑狼疮细胞常大为减少,甚至可转为阴性。

 

6.红斑狼疮细胞检查的临床意义:

①多出现于系统性红斑狼疮,其活动期较缓解期阳性率高。

②胶原性疾病如风湿病、类风湿性关节炎、结节性动脉炎、硬皮病及皮肌炎等有时也可查到此种细胞。

③未找到狼疮细胞并不能否定红斑狼疮的诊断,应进一步做其他有关免疫学检查,如抗核抗体等。

 

三、红斑狼疮的表现


红斑狼疮(LE)是一种典型的自身免疫性结缔组织病,可分为盘状红斑狼疮(DLE)、亚急性皮肤型红斑狼疮(SCLE)、系统性红斑狼疮(SLE)、深在性红斑狼疮(LEP)、新生儿红斑狼疮(NLE)、药物性红斑狼疮(DIL)等亚型,其中以系统性红斑狼疮最为严重。系统性红斑狼疮(SLE)多发于青年女性,发病年龄以20~40岁最多,但近年来我们在越来越多小儿和少年的血液中发现较多红斑狼疮细胞,这表明红斑狼疮正向越来越小的生命下毒手。SLE的临床表现多样,通过健康教育指导患者注意其首发以及复发的临床表现将有助于及时诊断、及时治疗、改善预后。


一般红斑狼疮早期出现时身体会有四种比较明显的变化:

①体温变化:红斑狼疮引起的发热通常都是由于身体的免疫功能受到了影响,才会出现一些炎症。随着病情的发展慢慢还会出现持续性的低热。


②关节疼痛:90%以上患者会出现关节肿痛,而且往往是患者就诊的首发症状之一。对称性多发性关节炎是最典型的表现,主要特征为晨僵、活动受限、关节红肿、疼痛等。首先受累1~2处关节,逐渐影响其他关节。症状会反复出现,通常持续时间较短,关节会有肿胀和压痛感,疼痛有游走性,但大多数患者不会产生关节畸形。


③出现脱发: 红斑狼疮通常都隐藏在头皮里面很难被人所发现,长时间没有注意的话就会出现脱发,而且脱发的问题只会一次比一次严重,并且都是大面积的情况出现,严重的时候可能还会有红肿或者水泡的出现。


④脸部红斑: 面部蝶形红斑是典型的皮损表现,看起来就像红蝴蝶扑映在脸上,这些皮肤的表面一般会出现皮肤损害的问题、还会有一些麟屑等,而且经常会在阳光下面红斑会变得更加的红,皮肤问题也会更加的严重。


SLE大多数起病隐匿,进展缓慢,初发时临床症状较轻或无特异性,可仅单个器官受累。一般临床表现为蝶形红斑、发热、关节痛、体重下降等,口腔溃疡也常见。绝大多数患者发病时就有多系统损害表现,少数病人由其他类型的红斑狼疮发展而来。病情重者会累及全身多器官脏器系统,如肾脏、心血管系统、肺、血液系统、胃肠系统、内分泌系统、神经系统等,从而导致多系统损害,甲状腺功能亢进、甲状腺功能低下、干燥综合征等。神经系统损害多提示病情危重,大脑损害时可以出现精神障碍。

 

四、SLE的诊断与治疗


1.SLE的发病机制(见图9):

遗传因素、雌性激素和环境因素的相互作用下,会导致患者体内的T淋巴细胞数量减少、B细胞过度增生和自身产生大量抗体等情况,也会和其体内的自身抗原进行结合,形成免疫复合物,这些免疫复合物会沉积在患者的小血管、关节、皮肤和肾小球等部位,在补体细胞的参与之下则会导致患者出现组织坏死和急慢性炎症等症状,最终会导致患者出现淋巴细胞减少症、溶血性贫血和身体多个系统损害等症状,对患者的身体健康伤害也非常巨大。

 

7.jpg

图9 系统性红斑狼疮的发病机制


2.SLE的诊断标准:

当前系统性红斑狼疮的诊断标准为11条,即:

⑴面颊部位红斑、⑵光敏感、⑶盘状红斑、⑷口腔溃疡、⑸浆膜炎、⑹肾脏病变、⑺关节炎、⑻神经系统异常、⑼免疫学异常、⑽血液学异常、⑾抗核抗体异常。我国在对系统性红斑狼疮患者实施临床诊疗时,使用这一分类标准的特异性和敏感性均较高,能够达到96%左右。


SLE的诊断依赖实验室检查,尤其是自身抗体的检测有助于诊断及判断病情。出现多系统损害的临床表现伴有自身免疫病的证据(如自身抗体阳性、免疫球蛋白升高及补体减低等)者,应考虑SLE的可能。常见的检测项目包括常规检查和免疫系统检测等:


⑴血常规检查中观察白细胞、血小板及血红蛋白的变化。SLE患者可以表现为不明原因的血小板减少、白细胞减少或急性溶血性贫血(见图10)。

8.jpg

图10 SLE患者血常规检查结果,三系减低


⑵尿液检查检查尿蛋白阳性、红细胞尿、脓尿、管型尿(>1 个/高倍视野)均有助于诊断SLE(图11)。

9.jpg

图11 SLE患者尿常规检查结果,尿蛋白阳性、红细胞尿、

脓尿、有颗粒管型尿


⑶急性时相反应物检查:血沉(ERS)的增快多出现在SLE活动期,稳定期SLE患者的血沉大多正常或轻度升高。C-反应蛋白(CRP))水平可正 常或轻度升高;当CRP水平明显升高时,提示SLE合并感染的可能,但也可能与SLE的病情活动有关(见图12)。


⑷免疫球蛋白检测:SLE患者的免疫球蛋白可表现为多克隆的升高,严重时出现高球蛋白血症。蛋白电泳可显示球蛋白明显升高(见图12)。


⑸补体检测:补体(CH50、C3、C4、C1q)水平的减低对SLE诊断有参考意义,同时对判断疾病活动性有一定价值。补体C1q的基因缺陷可能与SLE的发病有明显的相关性(见图12)。

10.jpg

图12 SEL患者CRP、免疫球蛋白、补体检测结果


⑹血清中出现以抗核抗体为代表的多种自身抗体阳性(见图13),抗双链DNA(dsDNA)抗体对诊断SLE有较高的特异性,尤其在活动期SLE病人血清中有滴度较高的抗dsDNA抗体,随着疾病活动的控制,抗dsDNA抗体滴度可以下降或消失。

11.jpg

图13 SEL患者抗核抗体检查结果


3.治疗:

(1)治疗原则:在治疗原则上,需要尽量早发现早治疗,并需要在治疗初期即对患者实施彻底治疗,让患者不会出现日后的复发情况。在治疗方案和治疗药物上,剂量和类型必须有个体化,医师需要随时关注患者在治疗时的相关情况,对其实施针对性的处理,避免并发症更加严重。


(2)一般治疗:①应该树立和疾病作斗争的坚强信心。②避免日晒,对日光敏感者尤应注意。外出应注意防晒,忌用光敏作用药物,如吩噻嗪、氢氯噻嗪、磺胺类药和灰黄霉素等。③避免过劳,急性或活动期SLE应卧床休息。避免妊娠,也不宜服用避孕药,有肾功能损害或多系统损害者避孕失败宜早做治疗性流产。④避免受凉感冒或其他感染。⑤增强抵抗力,注意营养及维生素补充。


(3)SLE治疗:个性化非常重要,在SLE病人开始治疗前,必须对SLE病人病情活动进行评估,如抗核抗体、抗DNA抗体和低补体血症及脏器受损程度,如心、肾、肺病变,皮肤和浆膜炎等作出正确评价,再进行治疗。目前多采用“系统性红斑狼疮活动指数”(SLEDAI),以病人在评价时10前的临床表现为评价依据,建议SLEDAI>12分时,可用原双倍的糖皮质激素的剂量或需住院治疗。

 

总结:红斑狼疮在临床上是一种比较常见的原因尚不明的全身免疫性疾病,症状复杂,病变累及皮肤和心、肾等许多器官,还会有反复发作的情况发生,它的诊断主要依靠临床特点和实验室检查。近年来随着医学检验技术水平的提高,针对SLE诊断的简便且快捷的新技术、新方法不断涌现,但检出狼疮细胞依然是诊断SLE的主要依据之一。由于狼疮细胞的制作方法起源古老,检验人员的工作中要根据实际的情况进行调整和改进,提高红斑狼疮细胞的检出率,同时还要密切结合临床,了解患者的临床表现,辅助医生对患者的病情诊断,及早发现,尽快制定个性化的治疗方案进行治疗。


参考文献

[1]Mageed RA,Zack DJ.Cross-reactivity and pathogenicity of anti-DNA autoantibodies in systemic lupus erythematosus[J], Lupus, 2002,11(12):783-786.

[2]赖馨,周锦阳,周道银.慢性粒细胞白细胞并发胃癌患者胸腔积液中检出红斑狼疮细胞一例[J].中华检验医学杂志,2012,35(5):475-765.

[3]和迎春,李雪梅,程明璟.骨髓中检出红斑狼疮细胞1例[J].实验与检验医学,2019,37(04):769-770.

[5]孙大椿.红斑狼疮细胞检查的方法学探讨[J].空军总医院学报,1985(04):56-58+84.

[6]孙明山.系统性红斑狼疮的皮肤外临床表现分析[J].中国社区医师,2019,35(31):11-12.

[7]廖秋玲,万萍.系统性红斑狼疮患者健康教育的研究进展[J].当代护士(上旬刊),2016(11):10-12.

[8]唐晓艳,李正红,宋红梅等.儿童系统性红斑狼疮的消化系统表现及急重症分析[J].中华实用儿科临床杂志,2014,29(19):1451-1454.

[9]章海涛,胡伟新.系统性红斑狼疮的发病机制[J].肾脏病与透析肾移植杂志,2006(01):66-71+76.

[10]董玉梅.系统性红斑狼疮的诊断标准及治疗研究进展[J].临床医药文献电子杂志,2017,4(44):8711-8712.

[11]张立营,董磊.系统性红斑狼疮实验室诊断方法研究进展[J].热带医学杂志,2012,12(11):1418-1420.


二维码图.png