警惕!擅长“伪装”的骨髓瘤

作者:周子琼-阳江市中医医院 来源:周子琼-阳江市中医医院 发布时间: 2025-03-10 点击数量:0

在医学的迷宫中,有些疾病如同擅长易容的“伪装者”,悄悄侵蚀健康却不露痕迹。多发性骨髓瘤(MM)便是这样一位“高手”,它披着常见骨病或贫血的外衣,让患者在初诊时频频“走错科室”。而在这场“捉迷藏”的游戏中,检验医生扮演着揭开真相的“侦探”角色。

15.jpg

多发性骨髓瘤本质是骨髓中的浆细胞恶性增殖,它们像失控的工厂,大量生产异常的单克隆免疫球蛋白。这些“问题蛋白”不仅破坏骨骼,还会沉积于肾脏,甚至抑制正常造血功能。

检验科的第一道关卡,血常规与生化筛查是关键。血常规中若发现红细胞如“串钱”般排列(缗钱状排列),或外周血涂片中异常浆细胞超过5%,便可能指向多发性骨髓瘤。而生化指标中的血钙升高、肌酐异常、β2微球蛋白超标,则是肾脏受损和骨质溶解的无声警报。

16.jpg

正常人的血清蛋白电泳图谱呈现均匀的条带,而多发性骨髓瘤患者则会出现一条陡峭的“M蛋白峰”——这是恶性浆细胞分泌的单克隆免疫球蛋白的独特标记。免疫固定电泳则能进一步区分IgG、IgA、IgM等类型,为分型治疗奠定基础。此外尿液中的轻链检测(κ和λ轻链比值异常)也是重要线索。这些“漏网之鱼”若在尿液中大量出现,往往提示肾脏已遭波及。

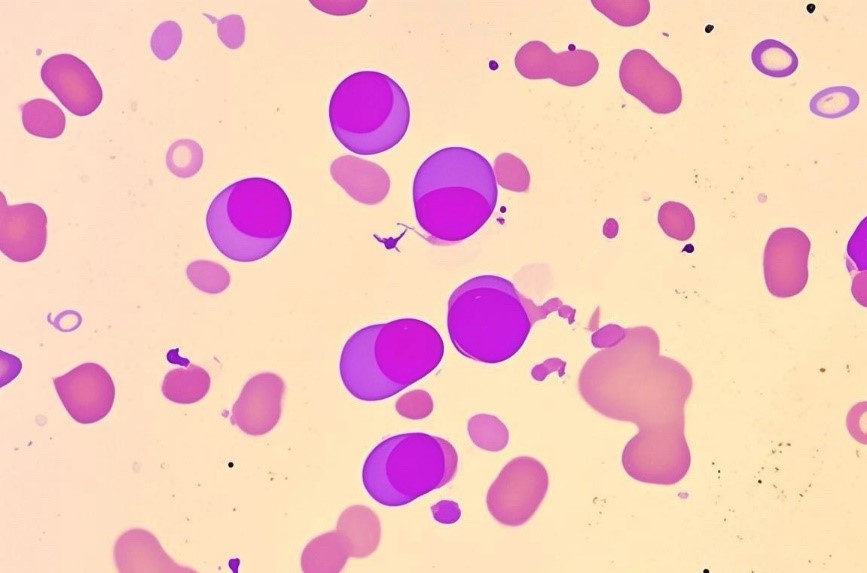
当初步检验提示异常,下一步便是深入骨髓的“微观战场”。骨髓涂片与活检如同放大镜,能直接观察浆细胞的形态与比例。正常骨髓中,浆细胞占比不足1%,而多发性骨髓瘤患者的骨髓常被恶性浆细胞“鸠占鹊巢”,比例可飙升至10%以上。

17.jpg

但检验的脚步不止于此。现代医学的“分子探针”——流式细胞术、荧光原位杂交(FISH)和基因测序技术,能进一步锁定疾病的“基因密码”。例如,14号染色体上的IGH基因易位、17p缺失等高危遗传学异常,不仅提示疾病进展风险,还为个体化治疗提供依据。

18.jpg

治疗过程中的检验监测同样至关重要。例如,微小残留病灶(MRD)检测通过超高灵敏度的流式细胞术或二代测序,能在治疗后追踪残存的骨髓瘤细胞。若MRD持续阴性,意味着患者有望获得更长的无进展生存期。

多发性骨髓瘤的“伪装”再高明,也敌不过检验医学的“火眼金睛”。从一滴血、一管尿、针穿骨髓到一段基因序列,检验科用数据与图像编织成网,捕捉疾病的蛛丝马迹。在这场生命与疾病的博弈中,检验不仅是诊断的起点,更是护航治疗的灯塔。或许有一天,当MRD检测持续阴性成为常态,“治愈”二字将不再遥不可及。